![]() |
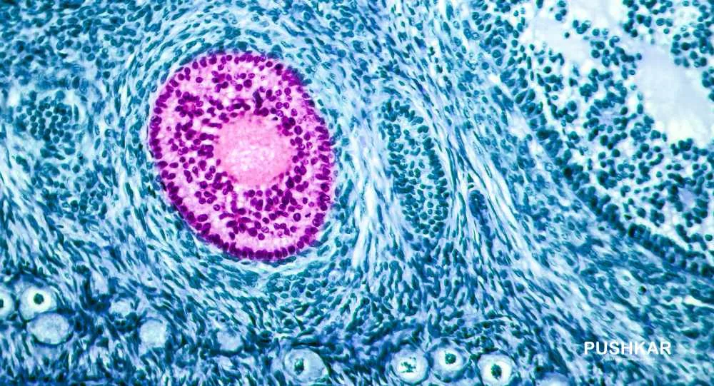
Фолликул яичников. Световая микроскопия, увеличение 200х.
|
Меню PUSHKAR
Темы здоровья
- А
- Аденовирус
- Аллергия
- Аллергический ринит
- Акне
- Альцгеймер болезнь
- Амнезия
- Анемия
- Аритмии
- Артрит
- Артроз
- Астма
- Астровирус
- Атеросклероз
- Аутоиммунное
- Б
- Баланс гормонов
- Боль
- Бронхит
- В
- Варикоз
- Вирус
- ВИЧ
- Вены
- Воздух
- Волосы
- Воспаление
- Восстановление
- Выгорание (синдром)
- Г
- Гастрит
- Гастроэнтерит
- Гепатит B
- Гепатит C
- Герпес
- Гингивит
- Гинекомастия
- Гиперкинез
- Гипертония (Высокое кровяное давление)
- Гипохлоргидрия
- Глаза
- Гликемия
- Глаукома
- Гликирование (Гликация)
- Глиобластома
- Глисты / Паразиты
- Головная боль
- Грипп
- Д
- Деменция
- Депрессия
- Дерматит
- Детоксикация
- Диабет
- Диарея
- Диета
- ДНК
- Дрожжи
- ДПН (Диабетическая периферическая невропатия)
- Доброкачественная гиперплазия предстательной железы (ДГПЖ)
- Ж
- Желудочный грипп
- Желчные камни
- Желудочно-кишечный тракт (ЖКТ)
- З
- Запор
- Зрение
- Зубы
- И
- Излучение
- Иммунитет
- Инсульт
- Инфаркт
- Инфекции
- Ионизация
- Ишиас
- К
- Кальциноз
- Кальцификация
- Камни в почках (Нефролитиаз)
- Кандида
- Кариес
- Катаракта
- Кишечник
- Климакс
- Когнитивное
- Кожа
- Кондиломы
- Коронавирус
- Кости
- Кровь
- Курение
- Л
- Лейкемия (Лейкоз)
- Лейкопения
- Легкие
- Лимфостаз (Лимфедема)
- Липопротеины высокой плотности (ЛПВП) / Липопротеины низкой плотности (ЛПНП)
- М
- Мастурбация
- Макулопатия
- Менопауза
- Мигрень
- Микробиом
- Мозг
- Морщины
- Мышцы
- Н
- Надпочечники
- Настроение
- Невроз
- Невропатия
- Нейродегенерация
- Нейропротекция
- Ногти
- Норовирус
- О
- Обезболивающе
- Ограничение калорий (ОК)
- Опухоли
- Остеоартрит (Остеоартроз)
- Острый респираторный дистресс-синдром (ОРДС)
- Отек
- Остеопороз
- П
- Панкреатит
- Память
- Паразиты
- Паркинсона болезнь
- Пародонтит
- Периодонтит
- Перхоть
- Пестициды
- Печень
- Пищеварение
- Пневмония
- Поджелудочная железа
- Полость рта
- Похудение
- Почки
- Простата
- Простатит
- Простуда (ОРВИ)
- Психическое
- Р
- Радиация
- Рак
- Рак кожи
- Рак простаты
- Рак молочной железы
- Рахит
- Ревматоидный артрит
- Ротавирус
- С
- Синдром дифицита внимания и гиперактивности (СДВГ)
- Себорея
- Сексуальная зависимость
- Сердце
- Слабость
- Слабоумие
- Сон
- Сосуды
- Синдром раздражённого кишечника (СРК)
- Стоматит
- Стресс
- Суставы
- Т
- Татуировки
- Тиннитус (Шум и звон в ушах)
- Токсины
- Травмы
- Тревога
- Туберкулез
- Тугоухость (Потеря слуха)
- Туннельный синдром
- Травмы головы
- Тромбоз
- Тромбоцитопения
- У
- Усталость
- Ф
- Фертильность
- Фибромиалгия
- Фолликулит
- Х
- Хандра
- Хелатная терапия
- ХОБЛ (Хроническая обструктивная болезнь легких)
- Холелитиаз
- Холестерин
- Холецистит
- Ц
- Целлюлит
- Цитомегаловирус
- Э
- Экзема
- Эпилепсия
- Я
- Язва желудка
ПРОТОКОЛЫ ЗДОРОВЬЯ
- Кровь & Гематология
- Кости, Суставы & Мышцы
- Мозг & Неврология
- Рак
- Пищеварительное Здоровье
- Глаза & Зрение
- Избранные & Популярные
- Глюкоза & Диабет
- Волосы, Кожа, Ногти & Полость Рта
- Сердце & Сосуды
- Гормональное Здоровье
- Иммунная Система
- Инфекции
- Воспаление
- Здоровье почек и мочевого пузыря
- Печень (Здоровье и Детоксикация)
- Долголетие & Здоровый Образ Жизни
- Мужское Здоровье
- Настроение, Стресс & Психическое Здоровье
- Респираторные Болезни & Дыхательная Система
- Сон
- Щитовидная Железа
- Потеря Веса, Диета & Фитнес
- Женское Здоровье
Кровь & Гематология
- Заболевания крови (Анемия, Лейкопения и Тромбоцитопения)
Синдром перегрузки железом (СПЖ) (Гемохроматоз)
- Лейкемия (Лейкоз)
Лимфома
Миелодиспластические синдромы (МДС)
Кости, Суставы & Мышцы
Боковой амиотрофический склероз (БАС) (болезнь Лу Герига)
- Артрит - Остеоартрит (Остеоартроз) (ОА)
- Ревматоидный артрит (РА)
Кистевой туннельный синдром (Синдром запястного канала)
Катаболическая истощение - Кахексия и Саркопения
Синдром хронической усталости
DHEA - Восстановительная терапия
Физические упражнения
Фибромиалгия
Подагра и Гиперурикемия
Мышечная дистрофия
Остеопороз
Мозг & Неврология
Возрастные когнитивные нарушения
Болезнь Альцгеймера
Амнезия
Синдром дефицита внимания / Гиперактивность (СДВГ)
Паралич Белла
- Опухоль головного мозга - Глиобластома
Кистевой туннельный синдром (Синдром запястного канала)
- Эпилепсия
- Глиобластома
- Потеря слуха и Звон в ушах (Тиннитус)
Менингит
- Мигрень
Рассеянный склероз
Невропатия (диабетическая)
Болезнь Паркинсона
Синдром беспокойных ног (СБН)
- Головокружение и Вертиго
Рак
- Опухоль головного мозга - Глиобластома
Рак молочной железы
Адъювантная терапия рака
Иммунотерапия рака
Лучевая терапия рака
Онкологическая хирургия
Лечение рака: критические факторы
Катаболическая истощение - Кахексия и Саркопения
Химиотерапия при онкологии
Колоректальный рак
- Глиобластома
- Лейкемия (Лейкоз)
- Рак легких
Лимфома
Миелодиспластические синдромы (МДС)
Рак поджелудочной железы
Профилактика рака простаты
Лечение рака простаты
Рак кожи
Рак матки (Эндометрия)
Пищеварительное Здоровье
Целиакия и Чувствительность к глютену без целиакии
Запор
Дивертикулез и Дивертикулярная болезнь
- Желчные камни (Камни в желчном пузыре - Холелитиаз)
Гастроэзофагеальная рефлюксная болезнь (ГЭРБ)
- Гипохлоргидрия (Пониженная кислотность желудка)
Воспалительные заболевания кишечника (ВЗК) (Крона и Язвенный колит)
Синдром раздраженного кишечника (СРК)
- Поддержание здорового микробиома
- Пептические язвы
- Панкреатит (Воспаление поджелудочной железы)
Глаза & Зрение
- Катаракта
Здоровье глаз
Глаукома
- Макулярная дегенерация
Ретинопатия
Избранные & Популярные
- Артрит - Остеоартрит (Остеоартроз) (ОА)
Целиакия и Чувствительность к глютену без целиакии
- Диабет и контроль глюкозы
- Восстановление женских гормонов
- Высокое кровяное давление (Гипертония)
- Поддержание здорового микробиома
- Восстановление мужских гормонов
Апноэ сна
- Управление весом
Глюкоза & Диабет
- Ограничение калорий
- Диабет и контроль глюкозы
Гипогликемия
Невропатия (диабетическая)
Волосы, Кожа, Ногти & Полость Рта
Угревая сыпь (Акне, Прыщи)
Хронические венозные болезни: Варикозное расширение вен и Венозная недостаточность
- Выпадение волос (Алопеция)
Герпес и Опоясывающий лишай
Здоровье полости рта
Псориаз
Заболевания кожи
- Здоровье Кожи, Волос и Ногтей
Сердце & Сосуды
- Аритмии сердца
- Атеросклероз и Сердечно-сосудистые заболевания
- Тромбы и Тромбоз (Сгустки крови)
- Управление холестерином
Хронические венозные болезни: Варикозное расширение вен и Венозная недостаточность
- Сердечная недостаточность
- Высокое кровяное давление (Гипертония)
- Снижение Гомоцистеина
Феномен Рейно
Инсульт
- Профилактика тромбоза
Гормональное Здоровье
Заболевания надпочечников (болезнь Аддисона и синдром Кушинга)
DHEA - Восстановительная терапия
- Восстановление женских гормонов
Здоровье щитовидной железы
Гипертиреоз
Гипотиреоз
- Восстановление мужских гормонов
- Синдром поликистозных яичников (СПКЯ)
Иммунная Система
Аллергии
- Ревматоидный артрит (РА)
- Простуда (Насморк)
- Грибковые инфекции (Кандида)
Герпес и Опоясывающий лишай
ВИЧ / СПИД
- Иммунное старение
- Грипп
Волчанка: системная красная волчанка (СКВ)
Рассеянный склероз
Миастения Гравис
Пересадка органов
- Пневмония
- Респираторная иммунная поддержка
Склеродермия
Синдром Шегрена
Инфекции
- Простуда (Насморк)
- Грибковые инфекции (Кандида)
- Гепатит B
Гепатит C
Герпес и Опоясывающий лишай
ВИЧ / СПИД
- Грипп
- Пептические язвы
- Пневмония
- Респираторная иммунная поддержка
Воспаление
- Артрит - Остеоартрит (Остеоартроз) (ОА)
- Ревматоидный артрит (РА)
Фибромиалгия
Подагра и Гиперурикемия
- Иммунное старение
Воспаление (хроническое)
Волчанка: системная красная волчанка (СКВ)
Менингит
Боль (хроническая)
Псориаз
Заживление травм и ран
- Панкреатит (Воспаление поджелудочной железы)
Здоровье почек и мочевого пузыря
- Токсичность ацетаминофена (парацетамола) и НПВП
Заболевания надпочечников (болезнь Аддисона и синдром Кушинга)
- Хроническое заболевание почек
Здоровье почек
- Камни в почках (Нефролитиаз)
Инфекция мочевых путей (ИМП)
Здоровье и детоксикация печени
- Токсичность ацетаминофена (парацетамола) и НПВП
Алкоголь: снижение рисков
Цирроз печени
- Желчные камни (Камни в желчном пузыре - Холелитиаз)
- Детоксикация тяжелых металлов
- Гепатит B
Гепатит C
- Метаболическая детоксикация (Токсины)
Неалкогольная жировая болезнь печени (НАЖБП)
Долголетие & Здоровый Образ Жизни
- Ограничение калорий
DHEA - Восстановительная терапия
Физические упражнения
- Восстановление женских гормонов
- Иммунное старение
Лабораторное тестирование (Анализы)
- Поддержание здорового микробиома
- Восстановление мужских гормонов
- Стресс-менеджмент
Хирургия - подготовка и восстановление
- Управление весом
Мужское Здоровье
Доброкачественная гиперплазия (аденома) предстательной железы (ДГПЖ)
DHEA - Восстановительная терапия
Эректильная дисфункция
- Восстановление мужских гормонов
Профилактика рака простаты
Лечение рака простаты
Настроение, Стресс & Психическое Здоровье
Беспокойство (Тревожность)
Синдром дефицита внимания / Гиперактивность (СДВГ)
- Депрессия
Бессонница
Обсессивно-компульсивное расстройство (ОКР)
Апноэ сна
- Стресс-менеджмент
Респираторные Болезни & Дыхательная Система
Боковой амиотрофический склероз (БАС) (болезнь Лу Герига)
Бронхиальная астма (Асфиксия / Удушье)
- Бронхит (Острый)
Хроническая обструктивная болезнь легких (ХОБЛ)
Идиопатический легочный фиброз (ИЛФ)
- Рак легких
- Пневмония
- Респираторная иммунная поддержка
Синусит
Апноэ сна
Сон
Бессонница
Синдром беспокойных ног (СБН)
Апноэ сна
Здоровье щитовидной железы
Здоровье щитовидной железы
Гипертиреоз
Гипотиреоз
- Управление весом
Потеря Веса, Диета & Фитнес
- Ограничение калорий
- Диабет и контроль глюкозы
Физические упражнения
Здоровье щитовидной железы
Гипертиреоз
Гипотиреоз
- Управление весом
Женское Здоровье
Рак молочной железы
Дисплазия шейки матки (Цервикальная дисплазия)
Хронические венозные болезни: Варикозное расширение вен и Венозная недостаточность
Эндометриоз
- Восстановление женских гормонов
Фиброзно-кистозная мастопатия (ФКМ) молочных желез
Остеопороз
- Синдром поликистозных яичников (СПКЯ)
Предменструальный синдром (ПМС)
Рак матки (Эндометрия)
- Миома матки
ПРЕПАРАТЫ И ВЕЩЕСТВА
- А
- Авенантрамиды
- Адаптогены
- Антиоксиданты
- Антоцианы
- Апигенин
- Артемизинин
- Аспирин
- Астаксантин
- Ацетаминофен (Парацетамол)
- Б
- Бактериофаги
- Белок (Протеин)
- Бенфотиамин (Benfotiamine)
- Берберин (Berberine)
- Бета-глюкан
- Бета-гидроксибутират (BHB)
- Бетаин HCL
- Бетаин TMG
- Бикарбонат натрия
- Биотин
- Бишофит
- В
- Верисол (Verisol)
- Винпоцетин
- Г
- Галлат эпигаллокатехина (EGCG, ЭГКГ)
- Гамма-линоленовая кислота (ГЛК, GLA)
- Геропротекторы
- Гесперидин
- Гарцинол (Garcinol)
- Гиалуроновая кислота
- Гиперзин А
- Глутатион
- Глюкозамин
- Гомоцистеин
- Гормон роста (HGH)
- Д
- ДГК (DHA, Докозагексаеновая кислота)
- ДГЭА (DHEA, Дегидроэпиандростерон)
- Диосмин
- Дииндолилметан (DIM)
- Дрожжи
- Ж
- Железо
- З
- Зеаксантин
- И
- Иммуномодулятор
- Индол-3-карбинол (I3C)
- Инозитол
- Инсулин
- Инулин
- Й
- Йод
- К
- Калий
- Кальций
- Капсаицин
- Карнозин
- Каротиноиды
- Кверцетин
- Кератин
- Кетоны
- Коллаген
- Коллаген тип II (UC-II)
- Кортизол
- Коэнзим CoQ10 (CoQ10)
- Кремний
- Куркумин (Куркума)
- Л
- Лактоферрин
- Ликопин (Lycopene)
- Липоевая кислота
- Литий
- Лютеин
- М
- Магниевое масло
- Магний
- Масло криля
- Масло эму
- Мелатонин
- Метионин
- Мирицетин
- Молозиво
- Н
- Наночастицы
- Наттокиназа
- Нейропротекция
- Ниацин (Никотиновая кислота, Витамин B3, Витамин PP)
- Никотин
- Никотинамид Рибозид (NAD+)
- Ноотропы
- НПВП (Нестероидные противовоспалительные препараты)
- О
- Оксид азота (NO)
- Обезболивающие
- Омега-3 (EPA / DHA) / Рыбий жир
- Ортокремниевая кислота
- П
- Панты оленя (Deer Antler)
- Панкреатин
- Пепсин
- Пектин цитрусовый модифицированный
- Пептиды
- Пикеатаннол (Piceatannol)
- Пикногенол (Pycnogenol)
- Пиридоксаль-5-фосфат (Пиридоксамин, P5P)
- Полифенолы
- Пребиотик
- Пробиотики
- Прополис
- Простагландин D2 (Prostaglandin D2)
- Птеростильбен
- ПЭА (PEA, Palmitoylethanolamide)
- Р
- Ретинол
- Ресвератрол (Resveratrol)
- Рыбий жир / Омега-3
- С
- Селен
- Сенолитики
- Серрапептаза
- Серин
- Силимарин
- Сода пищевая
- Стволовые клетки растений
- Сульфорафан
- Супероксиддисмутаза (SOD)
- Суперпродукт
- Стевия
- Т
- Теафлавин
- Тиамин (Витамин B1)
- Токотриенол
- Токоферол
- Трикату
- Тыквенное масло
- Тяжелые металлы
- У
- Убихинон / Убихинол (CoQ10)
- Успокоительное
- Ф
- Фактор роста (IGF-1)
- Ферменты
- Фисетин (Физетин)
- Фитокерамиды
- Фитонутриенты
- Фитоэстрогены
- Фолат (5-MTHF)
- Формальдегид
- Фосфатидилсерин
- Фукоидан (Fucoidan)
- Х
- Хлорелла
- Хлорофилл (Хлорофиллин)
- Холин
- Хондроитин
- Хризин
- Ц
- Цианидин-3-глюкозид (C3G)
- Цинатин (Cynatine HNS)
- Цинк
- Э
- Энзимы
- Эхинакозид
- Я
- Яблочный уксус
- A
- AHCC (Активное гексоз-коррелированное соединение)
- B
- BB536 (Пробиотик)
- BCAA
- BHB (Бета-гидроксибутират)
- C
- C3G (Цианидин-3-глюкозид)
- Cistanoside
- CoQ10 (Убихинон / Убихинол)
- Cynatine HNS (Цинатин)
- D
- D-лимонен
- DIM (Дииндолилметан)
- DHA (ДГК, Докозагексаеновая кислота)
- DHEA (ДГЭА, Дегидроэпиандростерон)
- DMAE
- E
- EGCG, ЭГКГ (Галлат эпигаллокатехина)
- F
- Fucoidan (Фукоидан)
- G
- GLA, ГЛК (Гамма-линоленовая кислота)
- H
- HMB (Гидроксиметилбутират)
- I
- I3C (Индол-3-карбинол)
- IGF-1 (Фактор роста)
- L
- L-Аргинин
- L-Глицин
- L-Глутамин
- L-Карнитин
- L-Лизин
- L-Метионин
- L-Таурин
- L-Триптофан
- L-Цистеин
- Lycopene (Ликопин)
- M
- MCT Oil
- MSM (Метилсульфонилметан)
- N
- NAC (N-ацетилцистеин)
- NAD+ (Никотинамид Рибозид)
- P
- P5P (Пиридоксаль-5-фосфат, Пиридоксамин)
- Palmitoyl Oligopeptide
- Palmitoyl Tetrapeptide-7
- PEA (ПЭА, Palmitoylethanolamide)
- PQQ (Витамин B14)
- Procyanidin B2 (Процианидин B2)
- Pycnogenol (Пикногенол)
- Prostaglandin D2 (Простагландин D2)
- S
- SAMe (S-аденозилметионин)
- SOD (Супероксиддисмутаза)
- U
- UC-II (Коллаген тип II)
- V
- Verisol (Верисол)
ТРАВЫ
- A
- Альпийская роза
- Амла (Amla)
- Андрографис
- Астрагал
- Апельсин
- Ашвагандха
- Б
- Базилик
- Бакопа
- Бамбук
- Белокопытник (Butterbur)
- Брахми
- Босвеллия
- Боярышник
- Брокколи
- Бузина черная
- Бурачник (Огуречник)
- В
- Васаби
- Витграсс / Wheat grass (Ростки пшеницы, пырея)
- Витекс
- Водоросли
- Вяз скользский
- Г
- Гвоздика
- Готу Кола (Центелла азиатская)
- Гудучи (Тиноспора сердцелистная)
- Голубика
- Горечавка
- Ж
- Женьшень
- Жеруха (Водяной кресс, Watercress)
- З
- Зверобой
- Зеленый чай
- И
- Имбирь
- К
- Кайенский перец
- Клевер
- Кинза
- Кникус
- Крапива
- Куркума (Куркумин)
- Л
- Ламинария (Kelp)
- Лимон
- Личи
- Лопух (Репейник)
- М
- Maqui Berry
- Малина
- Мята
- О
- Овес
- Одуванчик
- Олива
- П
- Пажитник (Fenugreek)
- Папоротник
- Пеларгония
- Петрушка
- Пигеум (Pygeum)
- Пиретрум (Пижма девичья, Feverfew)
- Плющ
- Полынь
- Помидоры
- Псиллиум (шелуха семян Подорожника)
- Пуэр чай
- Пшеница
- Пырей
- Р
- Расторопша
- Ревень
- Родиола розовая
- С
- Солодка
- Со Пальметто
- Спирулина
- Спорыш
- Стевия
- Ф
- Flor Essence (Essiac)
- Фо Ти (Fo Ti)
- Х
- Хлорелла
- Хмель
- Хна безцветная
- Ц
- Цикорий
- Цимицифуга (Black Cohosh)
- Цистанхе (Cistanche)
- Ч
- Чайное дерево
- Черника
- Черный орех
- Черный тмин (Nigella sativa)
- Черный чай
- Чиа
- Щ
- Щавель воробьиный
- Э
- Эвкалипт
- Эклония Кава
- Экстракт огурца
- Экстракт проса
- Экстракт пыльцы
- Экстракт яблок
- Эхинацея
- Я
- Яблоки
- Ягоды
ГРИБЫ
ВОЛОСЫ
- Алопеция
- Андрогенная алопеция (АГА)
- Витамины для волос
- Выпадение волос
- ДГТ (DHT)
- Диффузная алопеция
- Кератинизация волос
- Масляные маски для волос
- Мыльные орехи (ягоды)
- Мытье волос
- Перхоть
- Пигментация волос
- Питание для волос
- Рост волос
- Себорея
- Седина
- Строение волос
- Травы для волос
- Уход за волосами
- Фолликулит
- Хна безцветная
- Шампуни
- Шикакай (Shikakai)
ИСЦЕЛЕНИЕ / СПАСЕНИЕ ДУШИ
- Иисус Христос
- Евангелие
- Новый Завет
- Библия
- Воскресение Христово
- Пасха Христова
- Воля Бога
- Аскетика (Аскеза)
- Болезни
- Власть
- Гонения
- Желание
- Исихазм (Исихия)
- Искушение
- Исповедь
- Испытания
- Крест
- Крещение
- Мысли
- Помыслы
- Последнее время
- Православие
- Пророчества
- Свобода
- Сила мысли
- Скорби
- Смерть
- Смысл жизни
- Сны
- Совесть
- Страдания
- Страх Божий
- Счастье
- Угождение
- Христианство
- Царство Небесное
- Рай
- Ад
СВЯТЫЕ
- Аверкий Таушев
- Антоний Великий
- Архангел Михаил
- Виталий (Сидоренко)
- Гурий Чезлов
- Ефрем Сирин
- Ефрем Филофейский, Аризонский (Мораитис)
- Игнатий Брянчанинов
- Иннокентий Херсонский
- Иосиф Исихаст
- Никон Воробьев
- Никон Оптинский (Беляев)
- Иоанн Алексеев
- Иоанн Златоуст
- Иоанн Русский
- Иоанн Кронштадтский
- Лаврентий Черниговский
- Митрофан Воронежский
- Михаил Питкевич
- Отрок Вячеслав
- Паисий Величковский
- Паисий Святогорец
- Пелагия Рязанская
- Пестов Н. Е.
- Порфирий Кавсокаливит
- Серафим Вырицкий
- Симон (Безкровный) / Симеон Афонский
- Антония (Кавешникова)
- Тихон Задонский
- Фаддей Витовницкий
СИНДРОМ ПОЛИКИСТОЗНЫХ ЯИЧНИКОВ (СПКЯ). МЕТОДЫ ВОЗДЕЙСТВИЯ.
ВОСКРЕСЕНИЕ ИИСУСА ХРИСТА.
О ПОЧИТАНИИ СТРАДАНИЙ (СТРАСТЕЙ) ХРИСТОВЫХ.
![]() |
"Распятый
Иисус Христос" Васнецов Виктор Михайлович.
|
Помыслите о Претерпевшем такое над Собою
поругание от грешников, чтобы вамне изнемочь
и не ослабеть душами вашими. (Евр. 12:3)
СЕРРАПЕПТАЗА - НАТУРАЛЬНЫЙ ПРОТИВОВОСПАЛИТЕЛЬНЫЙ ФЕРМЕНТ.
![]() |
Коконы
Тутового шелкопряда (Bombyx Mori)
|
КАК ОТНОСИТЬСЯ К СНОВИДЕНИЯМ? СВЯТЫЕ ОТЦЫ О СНАХ.
Душевная жизнь человека не прекращается и во сне. Да она и не может прекратиться, поскольку душа бессмертна. Только во сне отнята наша воля по отношению к телу, и вместо обычного сознания появляется так называемое подсознание.
Кто хочет проверить это, пусть поставит себе целью – в момент прекращения сна захватить умом конец сна. При некотором волевом усилии это удается.
Итак, и во сне не прекращается душевная жизнь, только она приобретает другие формы.
Сонная жизнь души своеобразна: так воспринятые нами слова во сне – это не слова, а мысли, которые приходят к нам откуда-то.
СТАНДАРТНЫЕ МЕТОДЫ И НАТУРАЛЬНЫЕ ИНТЕГРАТИВНЫЕ ВМЕШАТЕЛЬСТВА В ЛЕЧЕНИИ МИОМЫ МАТКИ.
![]() |
Black Cohosh, Цимицифуга кистевидная, Клопогон
кистевидный
|
НЕВРОЛОГИЧЕСКИЕ ПРЕИМУЩЕСТВА АСТАКСАНТИНА ИЗ ВОДОРОСЛЕЙ.
![]() |
Микроводоросли Haematococcus pluvialis
|
УМЕНЬШЕНИЕ ОПАСНЫХ ВАРИКОЗНЫХ ВЕН С ПОМОЩЬЮ ФЛЕБОТОНИКИ.
![]() |
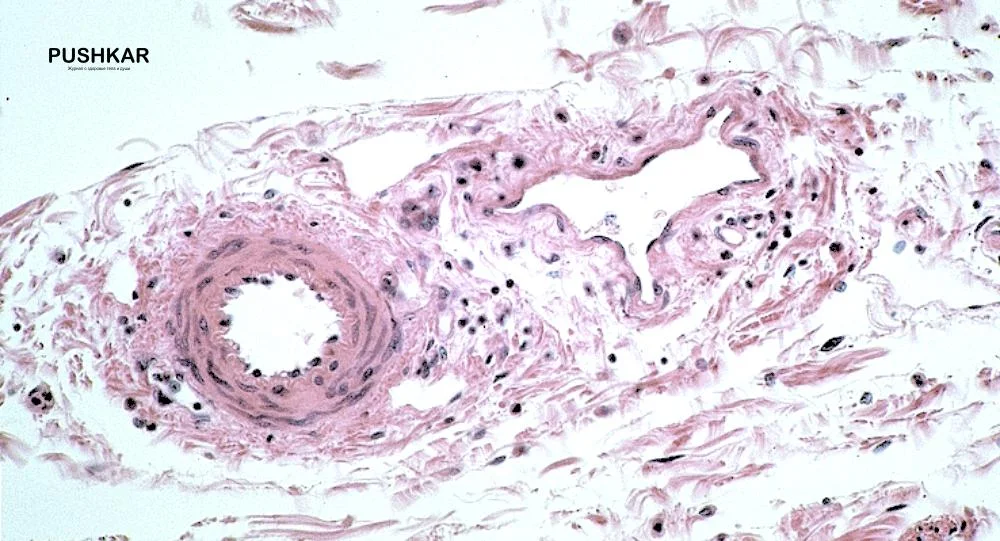
Кровеносные сосуды (артерия и вена)
|
СУЩНОСТЬ И ЗНАЧЕНИЕ ПОСТА. ЗАЧЕМ И КАК ПОСТИТЬСЯ?
Указания христианину о посте могут сильно разниться в зависимости от состояния здоровья тела христианина. Оно может быть в полном здоровье у молодого человека, не совсем здорово у пожилого или при серьезной болезни. Отсюда и указания Церкви о соблюдении постов (по средам и пятницам) или в периоды многодневных постов (Рождественского, Великого, Петрова и Успенского) могут сильно разниться в зависимости от возраста и физического состояния здоровья человека.








